Teeth Whitening Philadelphia

Teeth Whitening Philadelphia

Razavi Dental provides professional teeth whitening Philadelphia patients have relied on since 2008. KöR Whitening delivers dramatic, lasting results for even the toughest stains including coffee, wine, tobacco, and tetracycline discoloration.

KöR Whitening at Razavi Dental

cosmetic dentist philadelphia dr leily razavi
Patients seeking teeth whitening Philadelphia providers trust consistently choose KöR at Razavi Dental for its ability to address stains that other systems cannot.  

KöR works at a molecular level to dissolve stain molecules deep within the tooth structure, producing results that over-the-counter strips and standard in-office treatments cannot match. Patients in Philadelphia with coffee stains, wine stains, tobacco discoloration, age-related yellowing, and even tetracycline staining have achieved dramatic, lasting results with KöR. Dr. Razavi uses KöR exclusively at Razavi Dental because it consistently produces better results than other systems for the range of cases she sees in Philadelphia.

Why Patients Choose Teeth Whitening Philadelphia at Razavi Dental

Most whitening systems work on the surface. KöR uses a refrigerated, high-concentration gel with custom-fitted trays to keep the whitening agent active against the tooth for longer than standard systems allow. The result is deeper penetration into the enamel and more complete dissolution of stain molecules.

KöR is one of the only whitening systems clinically proven to work on tetracycline-stained teeth, a type of deep intrinsic discoloration that no other whitening method reliably addresses. For patients with standard staining from food, drink, or age, the results are more dramatic than anything achievable with at-home products.

KöR also includes desensitizing agents built into the formula. Sensitivity during and after whitening is significantly lower than with traditional peroxide systems, which makes it appropriate for patients who have tried other whitening methods and stopped due to discomfort.

How KöR Whitening Works at Razavi Dental

KöR whitening combines an at-home phase with a final in-office session.

1

Custom Tray Fabrication

Impressions are taken of your upper and lower teeth to fabricate custom-fitted trays made to hold the KöR gel precisely against your enamel.

2

At-Home Whitening Phase

You wear the trays overnight at home for approximately two weeks using the KöR bleaching gel. The extended contact time during sleep, when saliva production is lowest, allows the whitening agents to work without interruption.

3

In-Office Finishing Session

The process concludes with an in-office session at Razavi Dental. This final appointment completes the whitening cycle and seals the results. Most patients see a significant change in shade by the end of the at-home phase, with the in-office visit delivering the finished result. The complete process takes two to three weeks from consultation to final appointment. Results last for years with basic maintenance.

KöR offers several treatment levels depending on the degree of staining and the result you are looking for. KöR MAX addresses standard staining from food, drink, and age. KöR Ultra is for more resistant staining and patients who want the most dramatic shade change possible. KöR Ultra-T was developed specifically for tetracycline staining — the most difficult category of discoloration — and is one of the only whitening protocols clinically proven to produce results on this type of intrinsic staining. Dr. Razavi evaluates your staining history at your consultation to determine which level of treatment will produce the result you are looking for.

Who Is a Good Candidate for Teeth Whitening Philadelphia?

The most effective teeth whitening Philadelphia has available works only on natural tooth enamel.  Good candidates are patients with healthy teeth and gums who are unhappy with the color of their smile. The most common reasons patients seek whitening at Razavi Dental include:

  • Staining from coffee, tea, red wine, and tobacco
  • General yellowing from aging as enamel thins over time
  • Staining from certain medications, including tetracycline
  • Fluorosis
  • Discoloration following root canal treatment

Whitening does not change the color of crowns, veneers, bonding, or fillings. If you are considering porcelain veneers alongside whitening, Dr. Razavi recommends whitening first so the veneers can be matched to your brightened shade. Whitening is often the first step in a smile makeover in Philadelphia.  If you have existing restorations on visible teeth, she will discuss how to approach your case so the result looks uniform. Active decay or gum disease is treated before whitening begins.

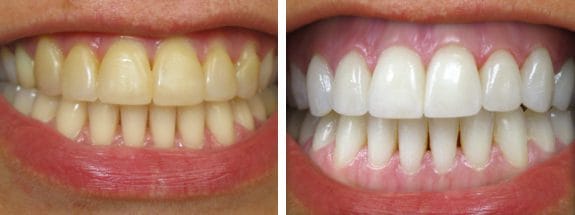
Whitening Results at Razavi Dental

before and after whitening razavi

Before

AFTER

This patient came to Razavi Dental with deep coffee and wine staining that had not responded to over-the-counter products. KöR MAX was used over a two-week at-home phase followed by a single in-office session. The result is a uniform, natural-looking shade without sensitivity.

before after pic

Before

AFTER

This patient had age-related yellowing across all upper and lower teeth. The KöR protocol produced a dramatic shade change while the built-in desensitizing formula kept the process comfortable throughout.

Teeth Whitening Philadelphia: KöR vs Zoom and Laser

Patients researching teeth whitening in Philadelphia often ask about Zoom and laser whitening. Both are in-office systems that use heat or light to activate a bleaching gel applied directly to the teeth. They can produce noticeable results in a single session.

KöR produces more complete whitening because the custom tray system allows the bleaching agents to work over an extended period rather than in a single accelerated session. The overnight at-home phase followed by an in-office finish achieves deeper enamel penetration than light-activated systems alone. KöR is also significantly better tolerated by patients with sensitivity.

For patients who want the most dramatic and lasting result, including those with stubborn or intrinsic staining, KöR is the stronger system. Razavi Dental uses KöR exclusively because it consistently outperforms other systems for the patients we see.

Treatment list

Teeth Whitening vs. Porcelain Veneers in Philadelphia

Whitening and veneers are both cosmetic treatments but they solve different problems. Whitening works on natural enamel and changes shade only — it cannot correct shape, chips, gaps, or alignment. It is the right choice when the structure of your smile is sound and the concern is color alone.

Porcelain veneers correct color, shape, chips, and minor crowding at the same time. They are appropriate when whitening alone will not produce the result you want, or when multiple cosmetic concerns need to be addressed together. If you are considering veneers, Dr. Razavi recommends whitening first so the veneers can be matched to your brightened shade.

If you are unsure which is right for your situation, the consultation is where that conversation happens.

Teeth Whitening Cost Philadelphia

Professional teeth whitening in Philadelphia typically ranges from $300 to $600 for take-home systems and $500 to $1,000 for in-office treatments. KöR combines both phases into a single treatment plan. An accurate estimate for your case is provided at your consultation.

Over-the-counter strips and gels are less expensive but produce surface-level results that fade quickly and do not address intrinsic staining. The cost difference between professional and over-the-counter whitening reflects the difference in depth of treatment, longevity of results, and the level of customization involved.

Maintaining Your Results

KöR whitening results last for years with basic maintenance. Patients receive take-home trays and a maintenance gel to use periodically, which keeps the result stable over time without repeating the full treatment. For patients who want to maintain their teeth whitening Philadelphia results long term, Razavi Dental provides custom take-home trays and maintenance gel at no additional charge. 

  • Avoid coffee, tea, red wine, and tobacco for 48 hours after your in-office session.
  • Brush twice daily, floss once daily, and keep your regular cleaning schedule at Razavi Dental.
  • Whitening toothpaste with fluoride can help maintain surface brightness between appointments.
  • Use the provided maintenance gel and trays periodically to keep the result stable over time.

Teeth Whitening Philadelphia: Schedule Your KöR Consultation

Patients searching for teeth whitening in Philadelphia can schedule a KöR consultation online or by calling (215) 996-7030.

Scroll to Top